Država zabranjuje crne plombe, ali na jedno pitanje još se ne zna odgovor
Piše Matea Drmić/DNEVNIK.HR,
03. listopada 2025. @ 22:45
komentari
Zubar, ilustracijaFoto: Getty Images
Besplatne, takozvane crne plombe, odlaze u povijest, a o tome se raspravljalo u Saboru. Država ih zabranjuje, no tko će platiti zamjenu - pacijent ili HZZO?
Podijelite
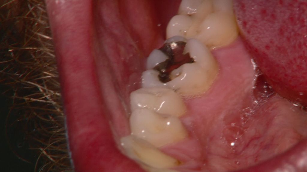
Crne plombe, iako su otporne i besplatne, imaju manu. Sadrže živu zbog čega ih Europska unija zabranjuje.
"Uredbom se proširuje zabrana zubnog amalgana", rekao je u Saboru Tomislav Dulibić, državni tajnik u Ministarstvu zdravstva.
"Do onečišćenja živom može doći do bilo kojoj fazi procesa sa amalgamom, od proizvodnje kapsule, njihove primjene, ostavljanja, uklanjanja do onoga što često i ne spominjemo, a to je amalgamske ispune koje ostaju u tlu nakon pokopa, odnosno kremiranja", rekao je za saborskom govornicom Mislav Herman, saborski zastupnik HDZ-a.
Doktori dentalne medicine umiruju građane.
"Ova cijela priča oko amalgama, tzv. crnih plombi nije zato što je amalgam štetan za pacijente, ovdje govorimo o Uredbi EU, o živi, odnosno o štetnosti žive za okoliš. Pacijentima apsolutno nikad amalgamske plombe u tom smislu nisu bile štetne, niti ih je štetno sada imati, niti ih je potrebno trčati, mjenjati", pojašnjava dr.med.dent., spec. Miroslav Sikora, predsjednik Upravnog vijeća Hrvatske komore dentalne medicine.
Crna plombaFoto:
DNEVNIK.hr
Ukidanjem besplatnih crnih još je nejasno tko će plaćati bijele plombe. Na to upozorava oporba, pa što kažu, a što građani na ulici o ovoj promjeni pogledajte u videoprilogu reporterke Dnevnika Nove TV Matee Drmić.