Bizarni slučaj iz jedne zagrebačke bolnice, glavni akteri - puževi: ''Znaju biti neke boce, čak i tegle od krastavaca - svašta si ljudi uspiju ugurati''

Podijeli
  • Puž, ilustracija - 1 Foto: DNEVNIK.hr
  • Puž, ilustracija - 2 Foto: DNEVNIK.hr
  • Strano tijelo u tijelu, ilustracija - 1 Foto: DNEVNIK.hr
  • Strano tijelo u tijelu, ilustracija - 2 Foto: DNEVNIK.hr
  • Strano tijelo u tijelu, ilustracija - 3 Foto: DNEVNIK.hr
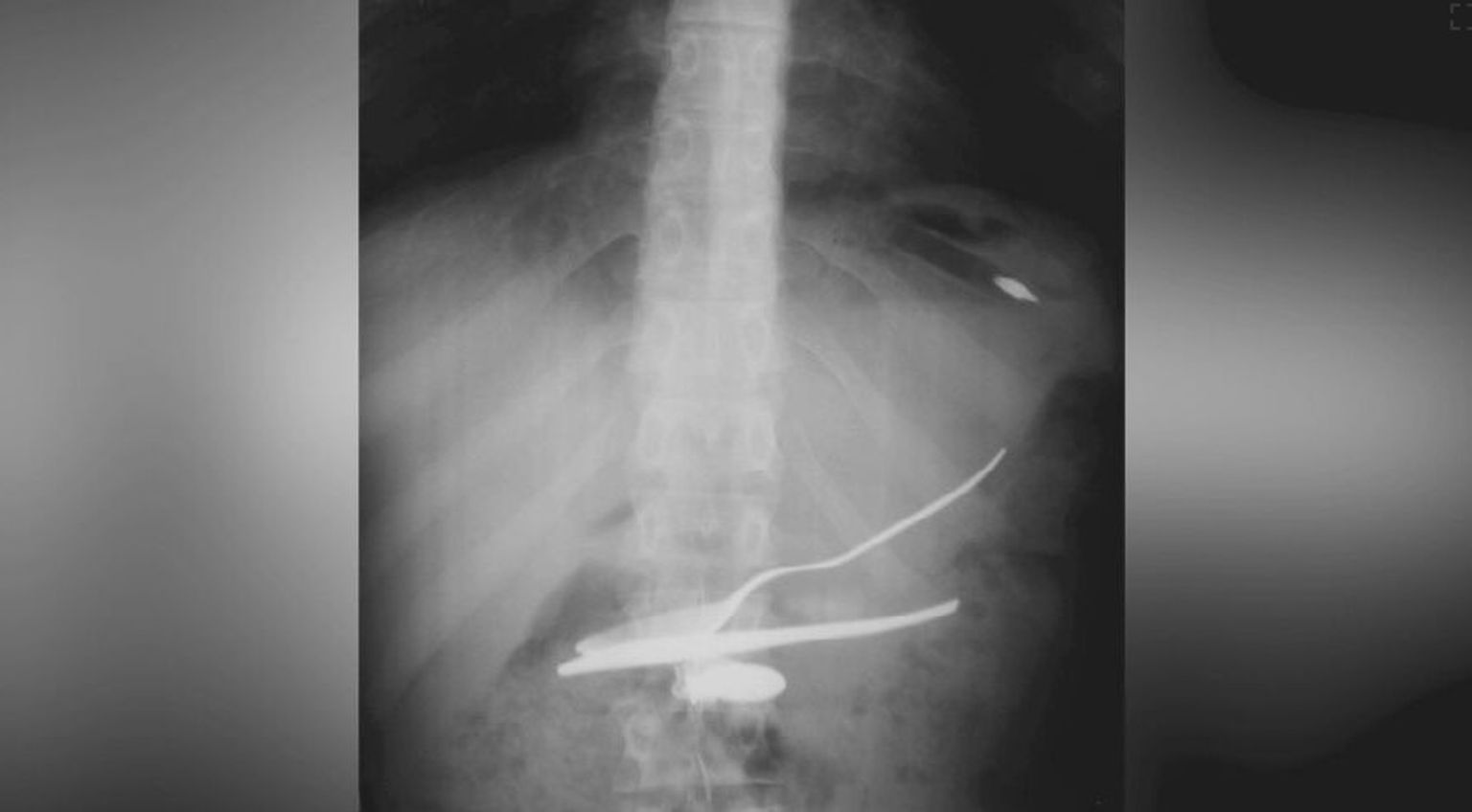
  • Strano tijelo u tijelu, ilustracija - 4 Foto: DNEVNIK.hr
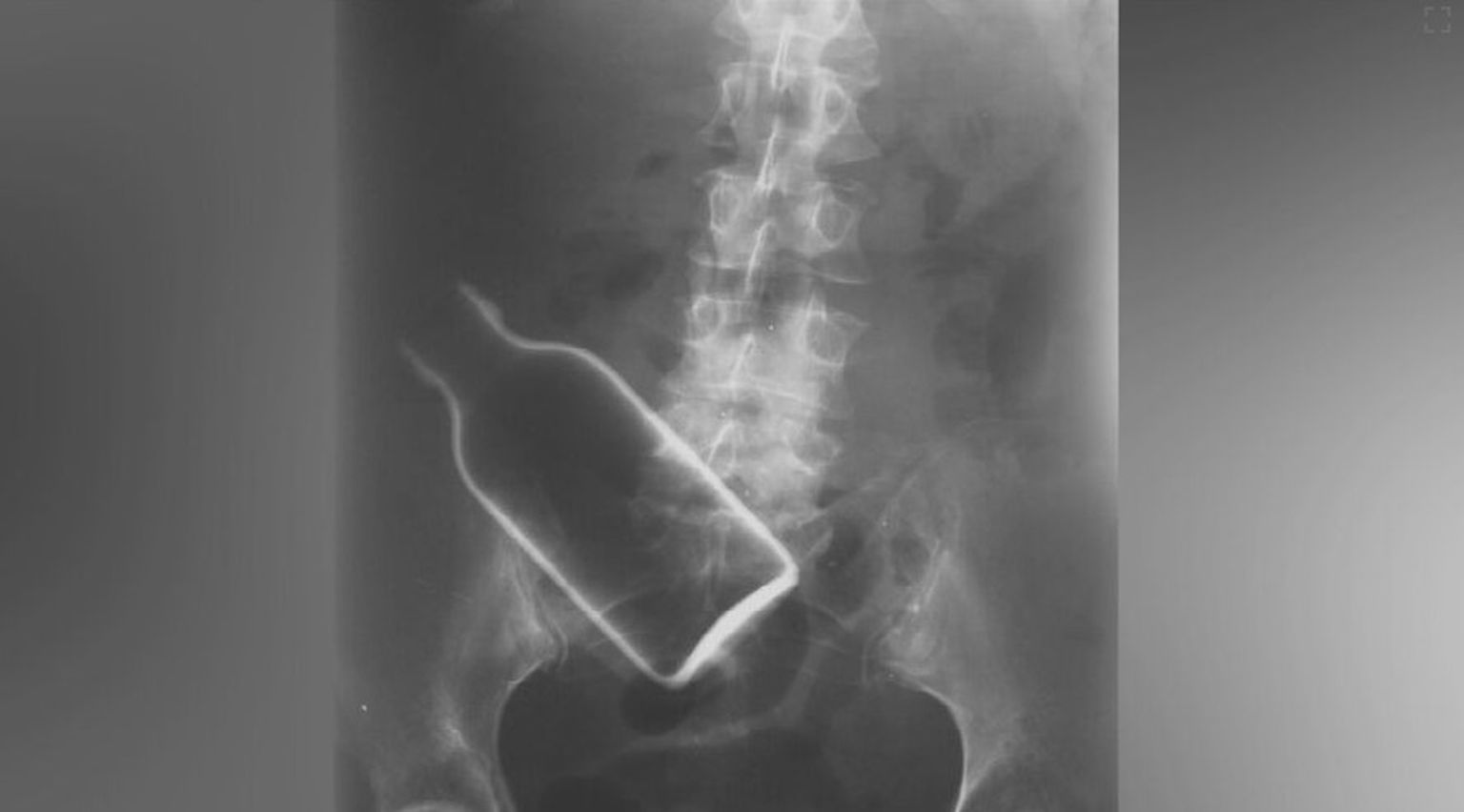
  • Strano tijelo u tijelu, ilustracija - 5 Foto: DNEVNIK.hr
  • Pogledaj i ovo + 1 + 1 + 1 + 1

    Pacijenta oživljavala medicinska sestra

    Gost Dnevnika Nove TV prozvao krivca za situaciju u Primoštenu: "Ravnatelji su politički podobni, a on je jedan od njih"

    + 2 + 2 + 2 + 2

    Nezadovoljstvo kadroviranjem

    Kirurzi u čakovečkoj bolnici prosvjeduju - bolovanjima: "Mi ćemo i poginuti ako treba"

    + 3 + 3 + 3 + 3

    komplicirana operacija

    Zagrebački liječnici iznimno teškim zahvatom spasili život novorođenčeta! Majka: "Hvala dragom Bogu što ih je poslao..."

1/7
modal close