Otkriće našeg mladog znanstvenika o kojem pišu svjetski mediji: "Lakše je pomoći teško oboljelima kad imate alat"

Podijeli
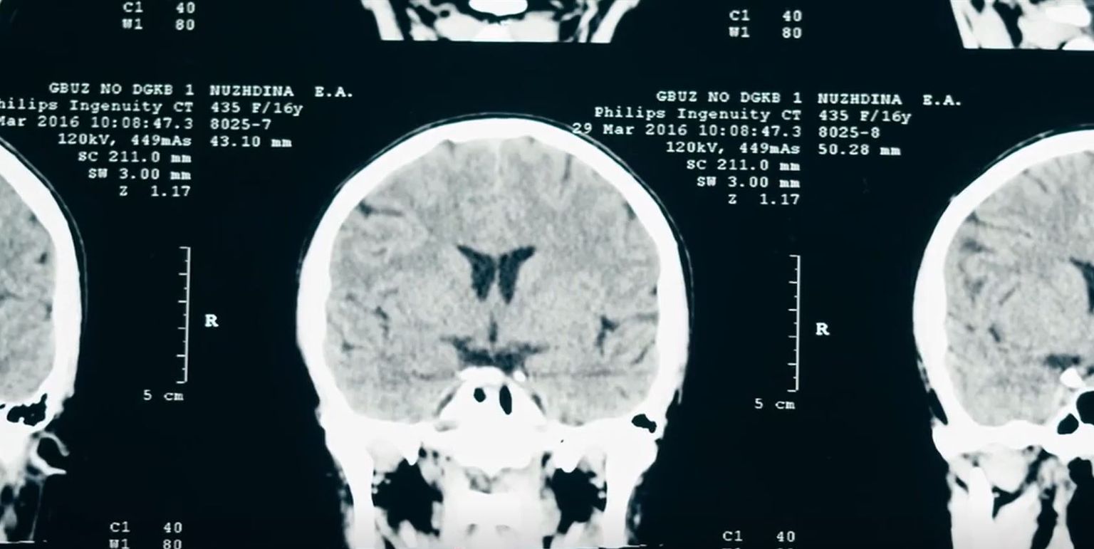
  • Uspjeh hrvatskog znanstvenika u istraživanju halucinacija - 3 Foto: DNEVNIK.hr
  • Uspjeh hrvatskog znanstvenika u istraživanju halucinacija - 1 Foto: DNEVNIK.hr
  • Uspjeh hrvatskog znanstvenika u istraživanju halucinacija - 2 Foto: DNEVNIK.hr
  • Uspjeh hrvatskog znanstvenika u istraživanju halucinacija - 4 Foto: DNEVNIK.hr
  • Pogledaj i ovo + 1 + 1 + 1 + 1

    Smrt Ante Ćorušića

    VIDEO Svjedok tragedije na Rebru: "Začuo se tres, tu se odmah našla glavna sestra i doktori, pokušali su reanimaciju..."

    + 1 + 1 + 1 + 1

    Traže novo rješenje

    Građani strahuju za svoje zdravlje zbog spalionice, novoj ministrici poslali apel: "Djelujte prije nego što nastane šteta!"

    + 3 + 3 + 3 + 3

    komplicirana operacija

    Zagrebački liječnici iznimno teškim zahvatom spasili život novorođenčeta! Majka: "Hvala dragom Bogu što ih je poslao..."

1/4
modal close