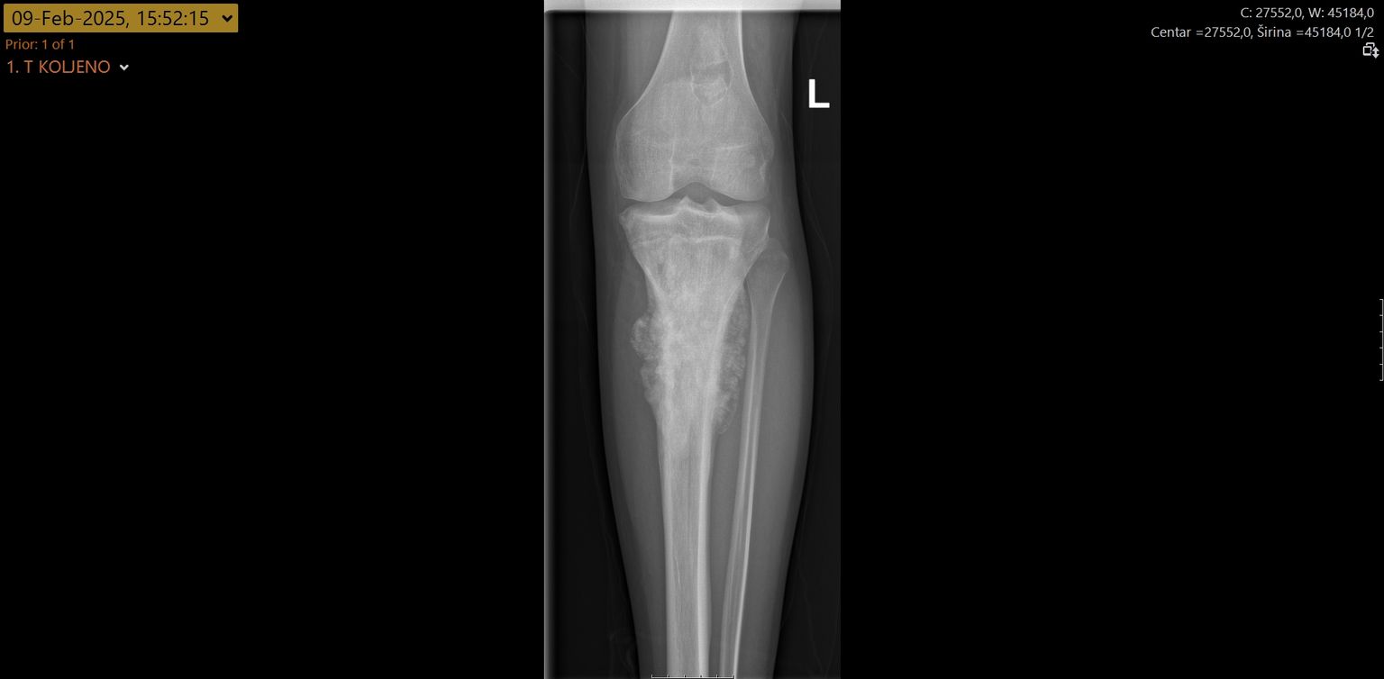
Veliki uspjeh KBC-a Split! Pacijenti s ovim tumorom više ne moraju u inozemstvo

Podijeli
  • Zahvat u KBC-u Split - 4 Foto: KBC Split
  • Zahvat u KBC-u Split - 5 Foto: KBC Split
  • Zahvat u KBC-u Split - 3 Foto: KBC Split
  • Zahvat u KBC-u Split - 1 Foto: KBC Split
  • Zahvat u KBC-u Split - 2 Foto: KBC Split
  • Pogledaj i ovo + 6 + 6 + 6 + 6

    KBC Split

    FOTO/VIDEO Robot Hugo odradio prve operacije: "Ovo je za nas veliko priznanje"

    + 2 + 2 + 2 + 2

    BRAVO KBC SPLIT

    Veliki uspjeh hrvatskih liječnika: U splitskoj bolnici djetetu odstranili jedan od najmalignijih tumora

    + 3 + 3 + 3 + 3

    komplicirana operacija

    Zagrebački liječnici iznimno teškim zahvatom spasili život novorođenčeta! Majka: "Hvala dragom Bogu što ih je poslao..."

1/5
modal close