Rak debelog crijeva tiha je i podmukla bolest. Doktor Neven Ljubičić naglašava da je bolest toliko ozbiljna, da kad se već jave simptomi, u većini slučajeva se možemo poslužiti onom narodnom "piši kući propalo“. Stoga se postavlja pitanje kako na vrijeme otkriti nešto što simptome ima tek kad je prekasno?
Prvi način je test prisutnosti krvi u stolici. Poziv za besplatno testiranje svake dvije godine uputi se svim građanima u dobi od 50 do 74 godine. Profesoru Marijanu Šustiću to je spasilo život.
"To sam dobio u desetom mjesecu 2016., a u jedanaestom sam već bio operiran. A profesor Nikolić mi je u otpusnom pismu napisao da ako imam djecu stariju od 50 godina da se odazovu na kolonoskopiju. Imamo dva sina koji su to napravili i hvala Bogu sve je u redu“, kazao je.
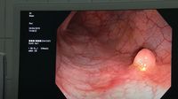
Kolonoskopija, odnosno pregled crijeva pomoću posebne kamere druga je ključna pretraga. Tu se odmah vide polipi koji s vremenom mogu prerasti u rak, pa se oni odstrane. Rak ne pita za godine, pa ni zanimanje. Može se desiti svima, pa i onkolozima. Jer upravo je to doktor Jure Murgić. Preko noći je od onog koji liječi onkološke bolesnike i sam postao jedan od njih.
"To je bio jedan šok svojevrsni. Imao sam zadnjih šest mjeseci krv u stolici i mislio sam da su to hemoroidi, ali kako je to bilo sve više i više, naročito pojava svježe krvi, to me alarmiralo, napravio obradu i kolonoskopiju, odmah je na kolonoskopiji bilo jasno da je to zapravo rak“, ispričao nam je.
Mlađi od 50 godina su ispod radara i najčešće dolaze kada je već kasno. Za njih se pokreće poseban program. Ako imate u obitelji nekog tko je imao rak debelog crijeva trebali biste obaviti pregled.
A za sve koji će poštom dobiti poziv na testiranje krvi u stolici - poruka profesora Šustića.
"Da ga ne bace u koš nego da se odazovu hitno, jer im to može produžiti život, kao što je i meni produžilo“.
Dnevnik Nove TV gledajte svakog dana od 19:15, a više o najvažnijim vijestima čitajte na portalu DNEVNIK.hr.
Propustili ste Dnevnik? Pogledajte ga besplatno na novatv.hr



