Apsurd hrvatskog zdravstva: Zbog dijagnoze ne može iz kuće bez aparata za kisik, a iz HZZO-a su je već dvaput odbili

Podijeli
  • Jadranka Škripelj Foto: Provjereno
  • Jadranka Škripelj Foto: Provjereno
  • Jadranka Škripelj Foto: Provjereno
  • Prijenosni aparat za kisik Foto: Provjereno
  • Kisik Foto: Provjereno
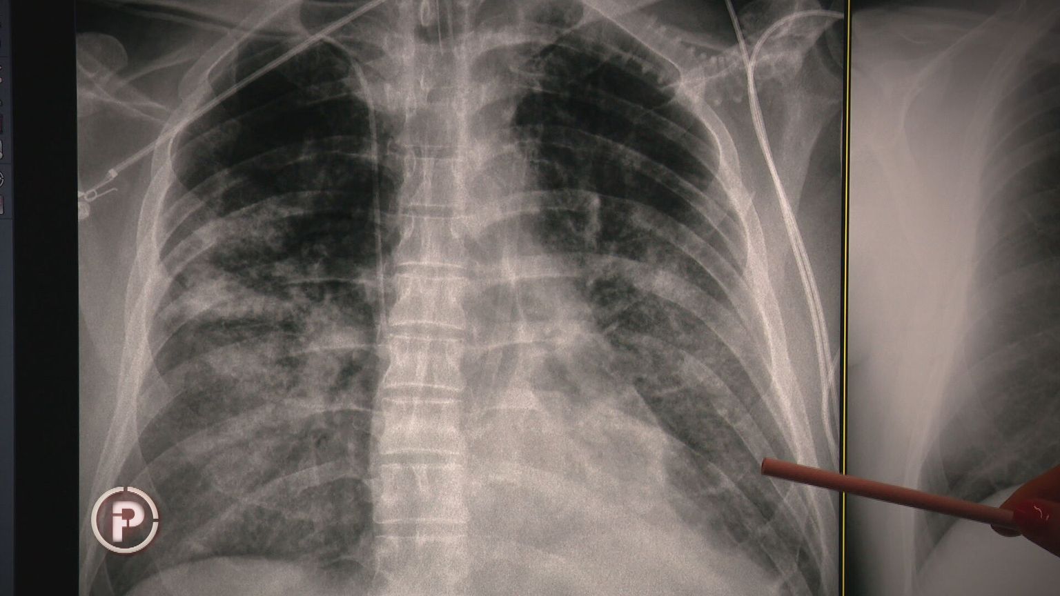
  • Pluća Foto: Provjereno
  • Aparat Foto: Provjereno
  • Pogledaj i ovo + 2 + 2 + 2 + 2

    Nevjerojatna situacija

    Suluda odluka Jadranku zatočila u vlastitom domu: "Još nisam otišla ni na majčin grob..."

    + 5 + 5 + 5 + 5

    tko će odgovarati?

    Pet mjeseci nakon strašne nesreće u Čazmi za Provjereno govore obitelji troje poginulih: "Izgledao je kao vatrogasci s Kornata"

    + 4 + 4 + 4 + 4

    POLITIČKA DINASTIJA

    Potemkin u našem sokaku: 20 godina na čelu male općine, započeo puno projekata koje nije dovršio - naslijedio ga sin

1/7
modal close